Разбор клинических случаев
Доступ к разделу осуществляется на платной основе по подписке. Все видео являются интеллектуальной собственностью, результатом творческого труда и многолетнего опыта. Охрана этого вида собственности регулируется законами, относящимися к авторскому праву. Любое копирование или передача видео третьим лицам несет уголовную ответственность.
Стоимость подписки
на 6 месяцев
на 6 месяцев
27 500 ₽

Вереш Юлия Петровна
Врач стоматолог ортодонт, гнатолог. Образование:
- закончила МГМСУ, стомат факультет в 2004 г.;
- интернатура МГМСУ (2004-2005 гг.);
- ординатура МГМСУ по ортодонтии на кафедре Персина под руководством Польма Л. В. (2005-2007 гг.).

Класс 2 , низкий угол. Подход к лечению
21 января 2025

Класс II, высокий угол. Подход к лечению.
13 января 2025

Класс III, низкий и высокий угол. Подход к лечению
29 января 2025

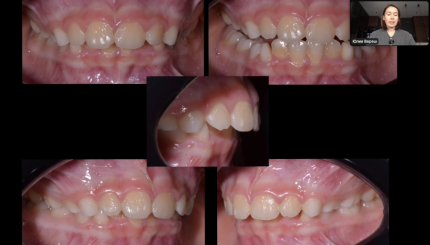
Клинический случай. Ребенок, II класс
22 марта 2025

Кондилография пациента. Разбор в программе
7 октября 2024

Разбор кейса. MLD, ребенок, техника направленного роста
24 сентября 2024

Угловой и координатный методы
21 октября 2024