Сериал 2 "Светлана"

17 ЗУБ. ОВЕРЛЕЙ
19 января 2023

34 ,36 ВЕРТИКАЛЬНОЕ ПРЕПАРИРОВАНИЕ
8 декабря 2022

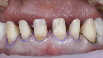
13 23 ПРЕПАРИРОВАНИЕ+ОТТИСК С ФРОНТАЛЬНОЙ ГРУППЫ
21 ноября 2022

46,47 ВЕРТИКАЛЬНОЕ ПРЕПАРИРОВАНИЕ+ОВЕРЛЕЙ
10 ноября 2022

25,26,27 ВЕРТИКАЛЬНОЕ ПРЕПАРИРОВАНИЕ +ТЕМПОРИЗАЦИЯ
8 ноября 2022

14 ,15,16 "ВЕРТИКАЛЬНОЕ ПРЕПАРИРОВАНИЕ+ТЕМПОРИЗАЦИЯ
26 октября 2022

ТОТАЛЬНЫЙ МОК-АП ДЛИТЕЛЬНОГО НОШЕНИЯ
5 октября 2022