Ортопедия
11 21 ВИНИРЫ НА РЕФРАКТОРЕ. МОКАП,ПРЕПАРИРОВАНИЕ,РЕТРАКЦИЯ
1 декабря 2021
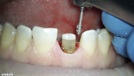
11 полная коронка. 21 Винир , закрытие диастемы
9 августа 2021
11-21 ПОЛНЫЕ КОРОНКИ(ДЦ)
25 сентября 2022
11,21 . Адгезивная фиксация
9 августа 2021
11,21 КОРОНКИ 3/4 (РЕФРАКТОР)
14 декабря 2023
11,21 МИНИМАЛЬНО-ИНВАЗИВНЫЕ КОРОНКИ 3/4
28 марта 2023
11,21 препарирование под коронки после пересадки ССТ
12 октября 2023
11,21,22 полные коронки.
8 июля 2023
12 зуб. Замена композитного винира на керамический
9 августа 2021
12,11,21,22 Замена билдапа,финишное препарирование+оттиск
9 августа 2021
12,11,21,22 КОРОНКИ 3/4
26 декабря 2024
13 12 11 21 22 33 ВИНИРЫ+КОРОНКИ
24 августа 2022
13 12 23 , ПРЕПАРИРОВАНИЕ РЕТРАКЦИЯ ТЕМПОРИЗАЦИЯ
30 декабря 2021
13,11,21,22,23,25. Демонтаж мк. СВШ ,темпоризация
3 февраля 2022
13,23 ПРЕПАРИРОВАНИЕ ПОД ВИНИРЫ НА РЕФРАКТОРЕ
16 мая 2025
13+23 ВИНИР 360
18 октября 2021
14 зуб-полная коронка.13 обратимый пульпит
3 октября 2021
14 зуб. Полная тонкостенная коронка,ретракция,оттиск.
10 августа 2021
14-24 . Препарирование под виниры+ретракция
10 августа 2021
14,15. Препарирование под overlay
10 октября 2021