Ортопедия

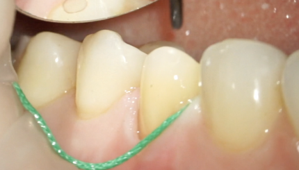
14 зуб-полная коронка.13 обратимый пульпит
3 октября 2021

МОСТОВИДНЫЙ ПРОТЕЗ 12-22. НЕМЕДЛЕННАЯ
27 сентября 2021

21-24 "КОМПОЗИТНАЯ ПЛАСТИКА" КУЛЬТЕЙ+ВРЕМЕННЫЙ МОСТОВИДНЫЙ ПРОТЕЗ
23 сентября 2021

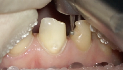
17 зуб. Препарирование, изготовление провизорной коронки
16 сентября 2021

Эргономика работы с 17 зубом +временная коронка
6 сентября 2021

36 . локальное тангенциальное препарирование +временная коронка
26 августа 2021

Препарирование зуба 36, с низкой клинической коронкой
23 августа 2021

ПРЕПАРИРОВАНИЕ ПОД ВИНИРЫ НА РЕФРАКТОРЕ. 11,21
21 августа 2021

16 зуб. ПОЛНЫЙ ПРОТОКОЛ ПРЕПАРИРОВАНИЯ, ОТТИСКА,И ТЕМПОРИЗАЦИИ
17 августа 2021
ПОЛНЫЙ ПРОТОКОЛ ПРЕПАРИРОВАНИЯ, ОТТИСКА,И ТЕМПОРИЗАЦИИ

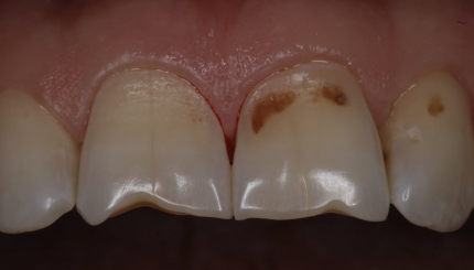
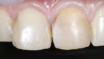
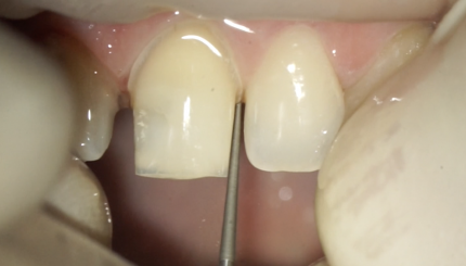
Препарирование дисколорированного 21+провизорная коронка
10 августа 2021

Препарирование 11 21
10 августа 2021

Предварительное препарирование 12 11 21
10 августа 2021

Оттиск под вр. коронки +фиксация
10 августа 2021

Девитальный 11 под коронку
10 августа 2021

43 42 41 31 32 Финишное препарирование + ретракция
10 августа 2021

41 42 31 полные коронки
10 августа 2021

32 зуб . Препарирование под полную коронку
10 августа 2021

26,27 зуб. Препарирование под полную коронку
10 августа 2021

26 зуб. препарирование,ремонт билдапа,ретракция,оттиск
10 августа 2021

24-27 ФИНИШНОЕ ПРЕПАРИРОВАНИЕ+РЕТРАКЦИЯ+ОТТИСК
10 августа 2021

22 зуб. Установка СВШ +препарирование
10 августа 2021

16 зуб . Билдап под оверлей
10 августа 2021

15 зуб.Полная коронка, провизорная коронка,коррекция по окклюзии
10 августа 2021

14-24 . Препарирование под виниры+ретракция
10 августа 2021

14 зуб. Полная тонкостенная коронка,ретракция,оттиск.
10 августа 2021

12,11,21,22 Замена билдапа,финишное препарирование+оттиск
9 августа 2021

12 зуб. Замена композитного винира на керамический
9 августа 2021